Mivel keresett meg bennünket a páciens?
Bal felső első foga nagymértékben mozogni kezdett, ínye gyakran vérzik fogmosás közben.
Milyen diagnózist állítottunk fel?
A páciens krónikus fogágybetegségben (közismertebb nevén fogínysorvadásban) szenved. A gyulladás következtében kisebb-nagyobb mértékben elpusztult a fogak tartószerkezetét jelentő csont a fogak körül.
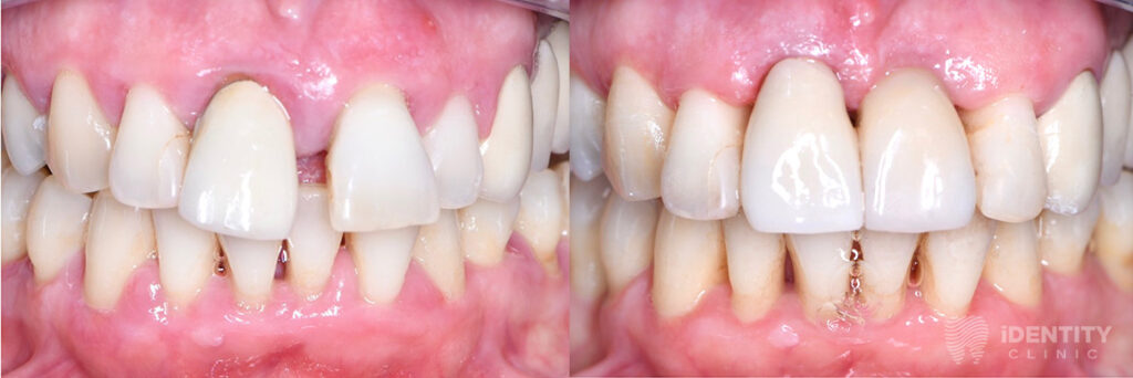
A bal felső első fog körül már olyan nagy mértékű a csonthiány, hogy a fogat reménytelen prognózisa miatt eltávolításra ítéltük. A többi, szintén parodontalisan (fogágybetegség által) érintett fog teljeskörű parodontalis terápiájának megkezdése indokolt.

Milyen kezelési tervet dolgoztunk ki?
Reménytelen prognózisú 21 (bal felső első) fog eltávolítását követően a nagymértékű csonthiány miatt azonnali csontpótlást végeztünk a páciens saját csontja, illetve kötőszövete segítségével (alveolus prezerváció). Ennek 4 hónapos gyógyulási idejére az eltávolított 21 fog koronáját visszasíneztük a szomszédos fogakhoz. A teljeskörű parodontális terápiát mindeközben elvégeztük.
A gyógyulási időt követően implantátum beültetésével pótoltuk a 21 fogat, melyre az ezt követő 3 hónapos gyógyulási időre (az implantátum csontos gyógyulásának ideje) ideiglenes koronával láttunk el, mely már nagymértékben javította a páciens esztétikai kívánságát.
A teljes gyógyulási idő leteltével az implantátumot, illetve a jobb felső 1-es fogat leplezett cirkóniumvázas szólókoronákkal láttuk el.
Hogyan zajlott a beavatkozás?
A bal felső első fog eltávolításával egyidőben csontpótlást (alveolus prezercációt) végeztünk. A sebészi beavatkozás lényege, hogy a fogeltávolítást követően az alveolus (az eltávolított fog helye a csontban) ne essen össze a nagymértékű csonthiány miatt, hanem azt fenntartva a páciens saját csontját és kötőszövetét felhasználva megőrizzük a csontkontúr eredeti formáját.
Mindemellett a gyógyulási idő alatt olyan mennyiségű és minőségű csont képződik az eltávolított fog helyén, melybe implantátum beültetése lehetséges.
Előtte-utána

A páciens véleménye
A páciens nagyon elégedett volt mind az esztétikai, mind a rágófunkciójának helyreállításával, örült, hogy újra bele tud harapni az ételekbe és nem kell vigyáznia a mozgó első foga miatt, mint korábban. Aktív fogágykezelésének is a végéra értünk ugyan, de a továbbiakban rendszeres kontrollokra fog visszajárni a fogágya, illetve fogai egészségének megőrzésének érdekében.